Passer au contenu principal
MesCoursJV
  • Accueil
  • Tous les cours
  • Aides
    Accompagnement enseignants Accompagnement étudiants
  • ENT
  • Cours Epione
  • Services
    🎓 Tutorat Santé 📅 Tutolib 🧘 Bien-être
  • Epione SimU TV
  • Plus
Français ‎(fr)‎
English ‎(en)‎ Français ‎(fr)‎
Vous êtes connecté anonymement
Connexion
Accueil Tous les cours Aides Replier Déplier
Accompagnement enseignants Accompagnement étudiants
ENT Cours Epione Services Replier Déplier
🎓 Tutorat Santé 📅 Tutolib 🧘 Bien-être
Epione SimU TV

Informations du cours

  1. EPIONE
  2. Sciences infirmières
  3. IFSI Abbeville
  4. S5 UE 2.9 - Processus tumoraux
  5. CSE
  6. Résumé
Retourner au cours

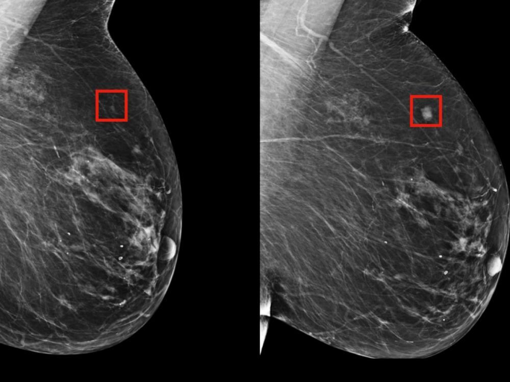
LE CANCER DU SEIN

  • Enseignant: Brocquet Sabine

Contacter l’assistance du site
  • Université Picardie Jules Verne |
  • Charte informatique |
  • CGU